Este artículo es originalmente publicado en:
https://www.facebook.com/photo.php?fbid=1430251870629445&set=pcb.1430252387296060&type=1&permPage=1
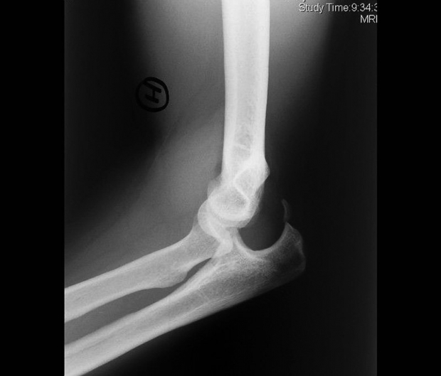
Cuadro clínico
Secuelas de luxación de codo mal tratada. Deformidad en varo.
Normalmente el paciente nos refiere una caída sobre la mano extendida, de bruces o de espalda.
El paciente presenta impotencia funcional para mover el codo, dolor intenso, deformidad de la articulación (el brazo puede estar desplazado hacia fuera y hacia atrás o en otra dirección, según el patrón de luxación), hinchazón y, en ocasiones, puede existir compromiso arterial o neurológico.
La exploración objetiva la deformidad y el aspecto de acortamiento del brazo y desaparición de las referencias anatómicas del codo: triángulo de Nelaton.













No hay comentarios:
Publicar un comentario